BLOG

Relació entre la periodontitis i les malalties cardiovasculars

La salut bucodental no és un aspecte aïllat del nostre organisme, sinó que forma part d’un sistema complex on múltiples factors interactuen. La relació entre la periodontitis i les malalties cardiovasculars ha estat àmpliament estudiada durant les darreres dècades.

Què és el curetatge dental?

El curetatge dental, també conegut com a raspat i allisat radicular, és un tractament odontològic destinat a eliminar la placa bacteriana i el càlcul (tarter) acumulats sota la línia de la geniva. Es tracta d’un procediment clau en el tractament de malalties periodontals com la gingivitis avançada o la periodontitis, amb l’objectiu de frenar la progressió de la infecció i preservar les estructures que sostenen les dents.

Síndrome de la Boca Ardent. Causes i Tractament

Què és el síndrome de la boca ardent?

El síndrome de la boca ardent (SBA), conegut també com a glossodínia o estomatodínia, és una afecció crònica caracteritzada per una sensació de cremor, picor o dolor a la boca sense una causa aparent observable en l’exploració clínica.

Tractament del bruxisme amb toxina botulínica (Botox)

El bruxisme és un trastorn funcional caracteritzat per l’hàbit involuntari d’estrènyer o fer grinyolar les dents, principalment durant la nit, tot i que també pot aparèixer durant el dia en situacions d’estrès o concentració.

La càries del biberó: una malaltia dental freqüent en la primera infància

La càries del biberó, coneguda també com a càries de la primera infància, és un problema de salut bucodental que afecta sobretot nadons i infants petits, habitualment entre els primers mesos de vida i els cinc anys. Tot i que moltes persones pensen que les dents de llet no són tan importants perquè acabaran caient, la realitat és que tenen un paper essencial en el desenvolupament de la boca i en la salut general del nen.

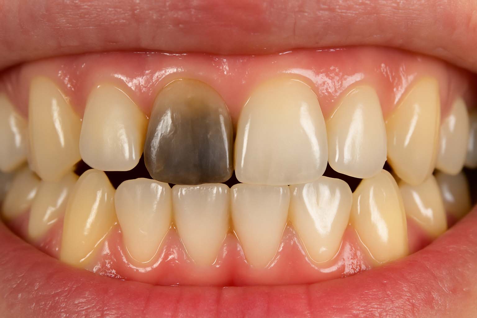
Sensació de dent trencada. Causes, símptomes i què fer

La sensació de tenir una peça dental trencada és una experiència relativament freqüent. Moltes persones descriuen que, de sobte, noten una irregularitat amb la llengua, una aresta punxant o una sensació estranya en mossegar. Encara que en alguns casos pot tractar-se

Com afecta la menopausa a les genives

La menopausa és una etapa fisiològica que marca la fi de l’activitat ovàrica i comporta una disminució significativa dels nivells d’estrògens i progesterona. Sovint s’associa a símptomes com fogots, canvis d’humor o pèrdua de densitat òssia,

El reflux gàstric, un enemic silenciós de l’esmalt dental

En els darrers anys, el reflux gàstric s’ha convertit en un problema de salut cada vegada més freqüent. Factors com l’estrès, els mals hàbits alimentaris, el sedentarisme o l’augment del sobrepès han contribuït a un increment notable dels diagnòstics.

Cefalees d’origen odontològic. Quan el mal de cap neix a la boca

Les cefalees són un dels motius de consulta mèdica més freqüents. Sovint s’associen a estrès, migranya, tensió muscular o problemes neurològics. Tanmateix, hi ha una causa menys coneguda però clínicament rellevant: les cefalees d’origen odontològic.

LA CLÍNICA

Som una clínica compromesa amb la salut bucodental i el benestar dels nostres pacients. Amb anys d'experiència i un equip de professionals qualificats, estem aquí per oferir-vos els millors tractaments dentals personalitzats i de qualitat...

LLEGEIX MÉS SOBRE LA CLÍNICA

TRACTAMENTS

Oferim una àmplia gamma de tractaments que van des de les cirurgies i les implantologies fins a la restauració dental i els tractaments estètics. Treballem amb les últimes tecnologies per garantir resultats excepcionals i el màxim confort dels nostres pacients...

CONEIX TOTS ELS TRACTAMENTS

HORARI I CONTACTE

De dilluns a divendres de 9:30 a 13:30 h. i de 15:30 a 19:30 h. (Divendres tarda tancat). Atenem visites d'urgència que vinguin sense hora programada.

Tel. 625 484 097

FORMULARI DE CONTACTE